intrahepatic cholangiocarcinoma-Surgery for intrahepatic cholangiocarcinoma (IHC)
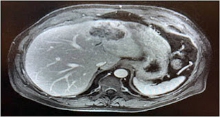
A male patient in seventh decade presented to emergency with obstructed umbilical hernia that got spontaneously reduced. He was well controlled diabetic on Injection insulin. There was history of heavy tobacco use for over 3 decades. During work up for elective laparoscopic umbilical hernia repair, abdominal CT scan was performed which revealed a large mass lesion in left hepatic lobe. A subsequent triple phase contrast enhanced MRI scan showed 7 x 5 cm lesion in segment 2, 3 & 4 of the liver that showed initial rim enhancement and then progressive and centripetal enhancement after the administration of intravenous contrast material with associated capsular retraction (Figure 1).

Figure 1. Triple phase MR scan of liver
Based on characteristic MRI scan findings, a diagnosis of IHC was made.
Diagnostic work up was completed by HRCT chest and estimation of tumor markers – serum CA 19-9, CEA and AFP all of which were in specified normal range.
At laparotomy, the liver was non cirrhotic and there was a large tumor in segment 2, 3, & 4. Anatomic left hepatectomy with designated lymph node dissection was performed(Figure 2). The postoperative period was uncomplicated and the patient was discharged on 7th day after surgery. The biopsy was confirmatory for IHC (small duct type) pT2N0.

Figure 3. Left hepatectomy specimen
Intrahepatic Cholangiocarcinoma
Arising from bile duct epithelium proximal to second order biliary radicals, IHC is the second most primary hepatic cancer after hepatocellular carcinoma.1 Tumors arising from within hepatic parenchyma and secondarily involving extrahepatic biliary tree are classifies as IHC (c.f. hilar cholangiocarcinoma which arises from main hepatic ducts or hepatic confluence).1
The incidence of IHC is increasing worldwide.2 A recent systematic review of 57 studies (4756 patients) reported that median age of IHC patients ranged from 49-67 years and 57% were males.3 Another large retrospective single centre study reported that heavy tobacco use and diabetes mellitus were particularly prevalent in these patients.1
Presentation: Intrahepatic cholangiocarcinoma is usually asymptomatic with majority of tumors being diagnosed during investigations for non specific symptoms such as weight loss, fatigue or abdominal pain or unrelated abdominal conditions. Some patients though would be diagnosed with tumor related symptoms e.g. jaundice.4
Imaging: On triple phase contrast enhanced abdominal CT scan, IHC shows early arterial peripheral enhancement with gradual filling towards the centre of the lesion.1, 4 At MRI , IHC are generally hypointense on T1-weighted images and hyperintense on T2 – weighted images. Other characteristic features have already been described.
Tumor markers: Preoperative CA 19-9 is raised in about 90% patients. Preoperative tumor marker levels of CA 19-9 and CEA have been shown to have prognostic value. In a recent study of 588 patients, 5 year overall (54.5%) survival was significantly better among patients with low CA 19-9 and CEA.5
Surgery: All medically fit patients with IHC localized to the liver are candidates for surgery which entails major hepatectomy and lymphadenectomy. A recent multicenter study has reported that patients who underwent liver resection with lymphadenectomy had better 3 & 5 year survival and disease free survival compared to patients who underwent liver resection without lymphadenectomy. 6
Resection margin: Liver resection with ‘wide’ resection margin of at ≥ 10 mm is shown to be associated with favourable outcomes particularly in patients with node negative disease and for mass forming type of IHC.7
Lymphadenectomy: The Liver Cancer Surgery Group of Japan proposed that 3 group of lymph nodes as draining nodes for IHC 8
Group 1 – Nodes in hepatoduodenal ligament. When the tumor is located in left lobe, lesser curvature nodes are included in group 1
Group 2 – Nodes along common hepatic artery, left gastric artery, celiac trunk and on posterior surface of pancreatic
Group 3 – Para aortic nodes
In HPB centres in Japan, group 1 & 2 lymph nodes are commonly dissected. A recent study has reported that the rate of lymph node metastasis (LNM) was high across all T categories and that 1 in 5 patients with T1 disease have LNM.9
For optimal staging 8th edition of AJCC recommends to harvest at least 6 locoregional nodes
Expanding boundaries of resection: Portal vein embolization (PVE) is indicated for safe liver resection if the remnant liver volume is likely to less than 30-40%. ALPPS may be a valuable adjunct to achieve R0 resection in locally advanced IHC where remnant liver volume remains inadequate after PVE. A multicenter study involving 102 patients with advanced IHC suggests that ALPPS should be restricted to patients with single lesions and sufficient future liver remnant at stage II operation (FLR2) to get most oncological benefit. 10
Current status of Liver transplantation: For most centres, liver transplantation is contraindicated for patients with IHC in a cirrhotic liver. However a recent multicenter study reported a 5 year actuarial survival rate of 65% in cirrhotic patients with very early IHC defined as ≤ 2 cm.11,
A recent systematic review of 57 studies (4756 patients) reported that the median survival was 28 (range 9 – 53) months and overall survival was 30% (5-56%). Adverse prognostic factors included large tumor size, multiple tumors, LNM and vascular invasion.3
References
- Endo I, Gonen M, Yopp A et al. Intrahepatic Cholangiocarcinoma. Ann Surg 2008;248: 84-96
- Mazzaferro V, Gorgen V, Roayaie S. Liver resection and transplantation for intrahepatic cholangiocarcinoma. J Hepatol;2020:72:364-77
- Mavros MN, Economopoulos KP, Alexiou VG et al. Treatment and prognosis for patients with intrahepatic cholangiocarcinoma: Systematic review and meta –analysis. JAMA Surg; 149:565-74
- Umberto Cillo, Constatino Fondevilla, Matteo Donadon et al. Surgery for cholangiocarcinoma. Liver Int; 143:143-55
- Moro A, Mehta R, Sahara K et al. The impact of preoperative CA 19-9 and CEA on outcomes of patients with intrahepatic cholangiocarcinoma. Ann Surg Oncol 2020 doi: 10/1245/s10434-020-08350-8
- Yoh T, Cauchy F, Le Roy B et al. Prognostic value of lymphadenectomy for long term outcomes in node negative intrahepatic cholangiocarcinoma: A multicentre study. Surgery 2019;166(6):975-982
- Watanabe Y, Matsuyama Y, Izumi N et al. Effect of surgical margin width after R0 resection after intrahepatic cholangiocarcinoma: A nationwide survey of liver cancer study group of Japan. Surgery 2020 doi 10.1016/j.surg.2019.12.009
- Uenishi T, Yamamoto T, Takemura S et al. Surgical treatment for intrahepatic cholangiocarcinoma. Clin J Gastroenterol; 7:87-93
- Zhang XF, Chakedis J, Bagante F et al. Trends in use of lymphadenectomy in surgery with curative intent for intrahepatic cholangiocarcinoma. Br J Surg 2018; 105:857-866.
- Li J, Moustafa M, Lineckar M et al. ALPPS for locally advanced intrahepatic cholangiocarcinoma: Did aggressive surgery lead to oncological benefit? An international multicentre study. Ann Surg Oncol 2020doi: 10.1245/s10434-019-08192-z
- Sapisochin G, Facciuto M, Rubbia‐Brandt L, et al. Liver transplantation for “very early” intrahepatic cholangiocarcinoma: international retrospective study supporting a prospective assessment. Hepatology. 2016;64:1178–1188
Authors:
Dr Nitin Vashistha, MS, FIAGES, FACS
Dr Dinesh Singhal, MS, FACS, DNB (Surg Gastro)
Department of Surgical Gastroenterology,
Max Super Speciality Hospital, Saket, New Delhi, India
E mail: gi.cancer.india@gmail.com