mucinous cyst-Mucinous Cystic Neoplasm (MCN) of Pancreas
A woman in her 8th decade presented with 2 months history of dull aching pain in the upper abdomen. She was in good health and there was no serious comorbidity though she had hypertension that was well controlled on medication. Her physical examination was unremarkable except for obesity (BMI 31kg/m2). An initial abdominal ultrasound done elsewhere was suggestive of large cystic lesion in the body of pancreas.
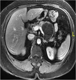
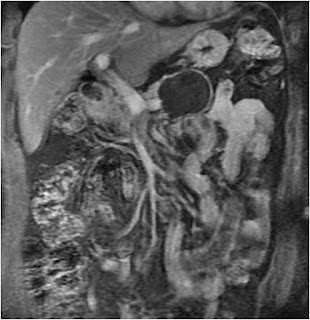
The patient was further investigated with contrast enhanced abdominal magnetic resonance imaging (MRI) of the abdomen which showed a well defined, large (> 5 cm) unilocular cystic lesion with thick enhancing capsule located centrally in the body of pancreas. There was no duct – cyst communication (Figure 1 & 2).

Figure 1

Figure 2
A diagnosis of mucinous cystic neoplasm (MCN) was made. A subsequent endoscopic ultrasound revealed a large multiseptated cyst with solid components in the pancreatic body raising the possibility of mucinous cystadenocarcinoma. The cyst fluid CEA was 47788 IU. mucinous cyst
In view of large, centrally placed lesion, a hybrid procedure i.e. laparoscopy assisted lateral to medial mobilization of pancreas and spleen with open transection of the pancreas was proceeded with. The postoperative period was uncomplicated.
At histopathology there was 7×5 cm MCN with low grade dysplasia.
The patient is well 3 years after surgery
Discussion
- Pseudocyst or MCN
- Surgery for MCN
These are sequentially discussed below:
- Pseudocyst or MCN: Prior to any intervention for cystic tumors of the pancreas, pseudocyst needs to be conclusively ruled out. In patients where doubt persists after all investigative modalities have been utilized it is best to follow the surgical dictum ‘it is better to resect a pseudocyst than to drain a cystic tumor’. The salient features for differentiating MCN and pseudocyst are summarized in table 1
Table 1. Pseudocyst versus MCN1
|
Parameter |
MCN |
Pseudocyst |
|
History of acute pancreatitis |
Absent. (c.f. 10% patient may present with acute pancreatitis)2,3 |
Present |
|
Contrast MRI with MRCP |
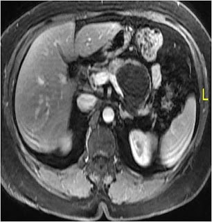
Cyst wall enhancing Main pancreatic duct – cyst communication absent (Figure 3) |
Cyst wall nonenhancing Main pancreatic duct – cyst communication present (Figure 4) |
|
EUS guided cyst fluid aspiration |
Cyst fluid amylase – CEA +++ |
Cyst fluid +++ CEA – |

Figure 3. Main pancreatic duct – cyst communication absent

Figure 4. Main pancreatic duct – cyst communication present
- Mucinous cystic neoplasms are characterized by presence of ovarian stroma and lack of communication with main pancreatic duct.2They occur most frequently in women (95%), in distal pancreas (97%) and are always a single lesion.3The risk of malignancy is reported to be 17%.2 The clinical and imaging parameters associated with malignancy include older age, presence of mural nodules and cyst diameter of ≥ 60 mm.2
Resection should be considered in all patients with MCN.2 This is most commonly in the form of distal pancreatectomy. In low risk MCN (≤ 4 cm, no mural nodules) non radical resections are appropriate
References
- Singhal D, Kakodkar R, Sud R et al. Issues in management of pancreatic pseudocysts. JOP 2006;7(5):502-7
- Crippa S, Salvia R, Warshaw AL et al. Mucinous cystic neoplasm of the pancreas is not an aggressive entity: lessons from 163 resected patients. Ann Surg 2008;247(4):571-9
- Farrell JJ, Castillo F. Pancreatic cystic neoplasms: management and unanswered questions Gastroenterology 2013;144:1303-15
Authors:
Dr Nitin Vashistha, MS, FIAGES, FACS
Dr Dinesh Singhal, MS, FACS, DNB (Surg Gastro)
Department of Surgical Gastroenterology,
Max Super Speciality Hospital, Saket, New Delhi, India
E mail: gi.cancer.india@gmail.com