Whipple’s procedure (pancreatoduodenectomy; PD) is currently the only curative option available for cancer limited to the head of the pancreas (CaHOP).
Many patients with CaHOP present with advanced tumors that involve major adjacent blood vessels and traditionally are/were not deemed candidates for Whipple’s procedure. Many such patients undergo a non curative ‘double bypass’ surgery. As the name suggests this procedure provides only an alternative pathway for the flow of food and bile into the small intestine without the removal of tumor. Consequently the likely survival following ‘double bypass’ is around 10 months only.
Advancements in chemotherapy & radiotherapy that downstage the disease together with advancements in surgical techniques (vascular resection & reconstruction) mean that Whipple’s procedure can now be successfully performed for patients deemed traditionally ‘unresectable’.
(https://gicancerindia.blogspot.com/2019/05/the-emerging-role-of-neoadjuvant.html)
In India this combined modality treatment is currently available at limited number of centers only.
We report one such patient managed recently by our team.
A bright, young lady, Ms A from Baghdad, Iraq was diagnosed with cancer of pancreatic head ( YouTube ➤ https://youtu.be/gP4Ws5AcA_g). She underwent surgical exploration with intent of Whipple’s procedure in her home country. At surgery, she was found to have advanced pancreatic head tumor that involved adjacent major blood vessels (SMV). Hence the tumor could not be removed and double bypass operation was performed.
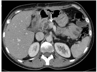
Determined to fight her disease, in October 2018, Ms A attended Outpatients’ Clinic of the Department of Surgical Gastroenterology at Max Hospital, Saket, New Delhi. She underwent a through re-evaluation by a multidisciplinary team. Her PET – CT scan revealed that the tumor was confined to the pancreas with no spread to other organs of the body. The pancreatic protocol CT scan showed the tumor involved major adjacent blood vessels (Figure 1).

Figure1. Pre CRT Pancreatic protocol CT scan
Tumor infiltrating SMV (> 180 degrees) with contour abnormality
A diagnosis of BRPC (borderline resectable pancreatic cancer) was thus made and she was advised chemoradiotherapy (CRT) to downstage the disease. Due to logistic reasons the patient and her family decided to undertake CRT in her home country.
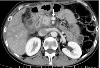
In July 2019, almost 11 months after her initial double bypass surgery and having completed CRT, Ms A again reported to our clinic. She appeared in good health and was therefore re-evaluated. Her repeat pancreatic protocol CT scan and PET – CT scan showed that there was a remarkable reduction in the size of the tumor (Figure 2) and no spread to other organs of the body.

Figure 2. Post CRT Pancreatic protocol CT scan. SMA & SMV free of tumor
Ms A subsequently underwent open Whipple’s procedure (duct – mucosa PJA with internal stent). The surgery was challenging in view of dense adhesions due to previous double bypass and loss of tissue planes with major blood vessels (IVC, SMA & SMV) due to radiotherapy; however no vascular resection was required. The postoperative period was uneventful and she was discharged on seventh postoperative day.
The final biopsy confirmed complete removal of the tumor (R0 resection). The retroperitoneal margin (4 mm) was free of tumor. All examined lymph nodes were also free of tumor.
In high spirits, Ms A has gone back home to continue further treatment with her team of doctors. We wish her well and hope to see her in good health in 3 months time.
Comments: In summary this strategy of Whipple’s procedure after chemoradiotherapy provides a glimmer of hope to patients with large pancreatic head tumors involving neighboring major blood vessels.
Authors:
Dr Nitin Vashistha, MS, FIAGES, FACS
Dr Dinesh Singhal, MS, FACS, DNB (Surg Gastro)
Department of Surgical Gastroenterology,
Max Super Speciality Hospital, Saket, New Delhi, India
E mail: gi.cancer.india@gmail.com
gicancerindia.azurewebsites.net
Links:
1. http://www.drugtodayonline.com/medical-news/review/9699-max-docs-shrink-tumor-then-operate-to-save-iraqi-patient.html
2. https://www.onlymyhealth.com/whipple-procedure-for-pancreatic-cancer-a-new-ray-of-hope-for-treating-inoperable-pancreatic-cancers-1566810639
3. http://bwhealthcareworld.businessworld.in/article/Whipple-s-Procedure-After-Neo-adjuvant-Chemo-radiotherapy-New-Hope-for-Locally-Advanced-inoperable-Pancreatic-Cancers-Tumours/26-08-2019-175236/