Colonoscopic tattooing of colorectal neoplasms with India ink is currently the preferred technique for tumor localization during subsequent laparoscopic resections. It is safe (complications 0.22%) and accurate (90.5 – 97.9%).1,2,3 Dye spillage occurs in 2.4 – 13 % patients and is usually asymptomatic.4
Tattooing may sometimes result in rare findings that cause diagnostic dilemma during surgery.
A 65 year old male presented with history of weight loss, recent onset constipation and bleeding of bright red per rectum for 1 year. His general physical and abdominal examination was unremarkable as was digital rectal examination and proctoscopy.
Colonoscopy revealed large polypoidal sigmoid colon tumor which was tattooed with India ink. Admittedly the tumor in our patient was large and may well have been localized without tattooing also.
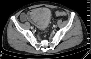
Endoscopic biopsy suggested well differentiated adenocarcinoma. Contrast enhanced abdominal computed tomography scan showed large, non obstructing tumor involving distal sigmoid colon (Figure 1).

Figure 1: Contrast enhanced abdominal computed tomography scan showing large enhancing tumor in distal sigmoid colon
The patient was planned for laparoscopy assisted radical sigmoid colectomy. At initial laparoscopy there were dark pigmented macules diffusely present over peritoneal cavity raising suspicion of metastatic malignant melanoma (Figure 2).

Figure 2: Laparoscopy showing multiple pigmented patches over peritoneum with minimal free fluid
Frozen section from multiple such lesions did not reveal tumor deposits and was proceeded with. Final histopathology staging was pT2N0M0. On Hematoxylin & Eosin (H & E) staining, pigmented lesions were due to black pigment (presumably carbon from India ink) laden macrophages. Negative immunohistochemistry (IHC) for HMB45 & Melan A ruled out melanocytes as causative for pigmentation (Figure 3).

Figure 3: Microphotograph: H & E stain – showing black pigment laden macrophages; IHC HMB45 – negative for melanocytes
The postulated mechanisms for such findings include intraperitoneal spillage of India ink or via pigment laden macrophages.5
Awareness of this entity is important for surgeons to avoid misinterpretation of peritoneal findings at laparoscopy.
References
- Nizam R, Siddiqi N, Landas SK, Caplan DS, Holtzapple PG. Colonic tattooing with India ink: Benefits, risks and alternatives. Am J Gastroenterol 1996;91(9):1804-08
- Acuna SA, Elmi M, Shah PS, Coburn NG, Quereshi FA. Preoperative localization of colorectal cancer: A systematic review and metanalysis. Surg Endosc 2017;31(6):2366-2379
- Cho YB, Lee WY, Yun HR, Lee WS, Yun SH, Chun HK. Tumor localization for laparoscopic colorectal surgery. World J Surg 2007;31(7):1491-5
- Trakarnsanga A, Akaraviputh T. Endoscopic tattooing of colorectal lesions: Is it a risk free procedure ? World J Gastrointest Endosc. 2011;3 (12):256-60
- Cappell MS, Courtney JT, Amin M. Black macular patches on parietal peritoneum and other extra intestinal sites from intraperitoneal spillage and spread of India ink from preoperative endoscopic tattooing: an endoscopic, surgical, gross pathologic and microscopic study. Dig Dis Sci 2010;55(9):2599-2605
Authors:
Dr Nitin Vashistha, MS, FIAGES, FACS
Dr Dinesh Singhal, MS, FACS, DNB (Surg Gastro)
Department of Surgical Gastroenterology,
Max Super Speciality Hospital, Saket, New Delhi, India
E mail: gi.cancer.india@gmail.com